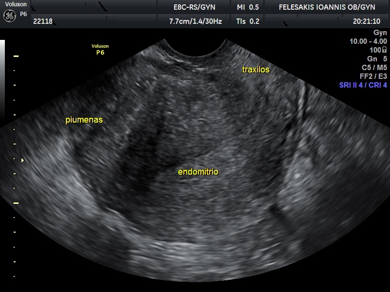
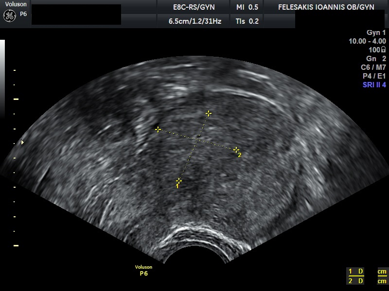
Με τον όρο αδενομύωση εννοούμε την παρουσία ενδομητρίου εντός του μυικού χιτώνα του σώματος της μήτρας. Η αδενομύωση μπορεί να είναι εστιακή, (και ονομάζεται "ανεπισήμως" αδενομύωμα) ή γενικευμένη και να καταλαμβάνει μεγάλο τμήμα του τοιχώματος της μήτρας. Η πάθηση εμφανίζεται στο 5% των γυναικών αναπαραγωγικής ηλικίας και συχνότερα σε γυναίκες ηλικίας άνω των 35 ετών, οι οποίες έχουν τεκνοποιήσει.
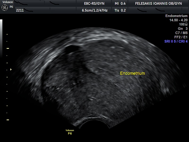
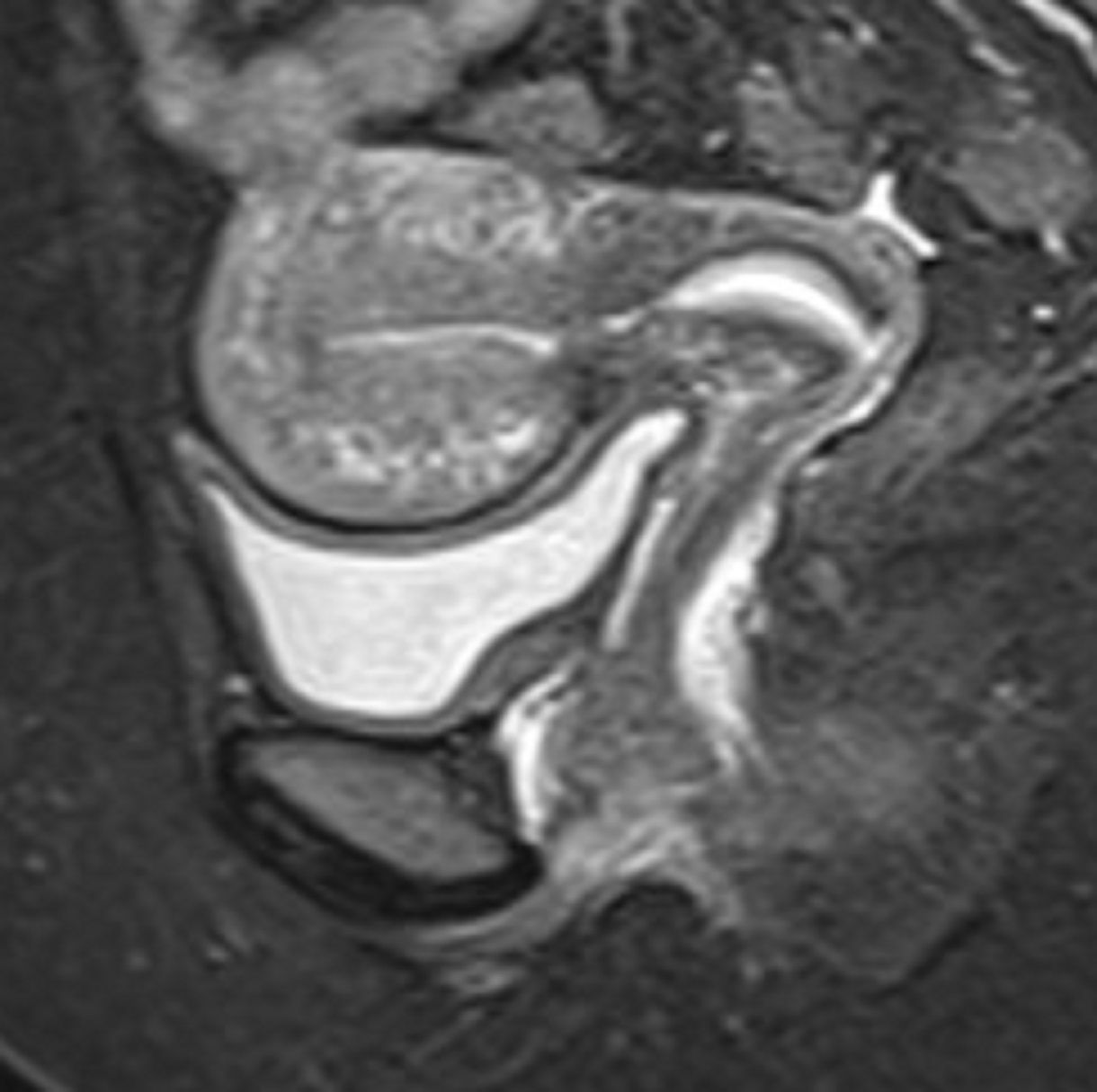
Τα συνηθέστερα συμπτώματα των γυναικών είναι η δυσμηνόρροια, η μηνορραγία και ο πόνος κατά την επαφή (δυσπαρεύνια). Σημαντικό είναι να τονιστεί, ότι η αδενομύωση δεν οδηγείται σε εξαλλαγή σε καρκίνο. Η διάγνωση της αδενομύωσης είναι δύσκολη, καθώς η υπερηχογραφική της εικόνα, πολλές φορές ομοιάζει με αυτή των ινομυωμάτων. Τη λύση έχει δώσει η Μαγνητική Τομογραφία (MRI) η οποία και βοηθάει στη διαφορική διάγνωση της υποκείμενης πάθησης.
Η θεραπεία της αδενομύωσης εξαρτάται από την έκταση της βλάβης, την ηλικία της γυναίκας και την επιθυμία της να τεκνοποιήσει. Συντηρητικά: Αντισυλληπτικά δισκία, GnRH ανάλογα, προγεσταγόνο σε συνεχή χορήγηση, μη στεροειδή αντιφλεγμονώδη, χρήση φαρμακευτικού ενδομητρίου σπειράματος Χειρουργικά: Με τη Λαπαροσκοπική αδενομυωματεκτομή αντιμετωπίζονται τα αδενομυώματα κυρίως στην αναπαραγωγική ηλικία οπότε και η γυναίκα επιθυμεί τη διατήρηση της γονιμότητάς της. Επίσης σε περίπτωση που απαιτηθεί ολική υστερεκτομή και αυτή πραγματοποιείται λαπαροσκοπικά.








Οι πληροφορίες που παρέχονται δεν πρέπει να χρησιμοποιούνται για τη διάγνωση, θεραπεία, περίθαλψη ή πρόληψη οποιασδήποτε νόσου χωρίς τη συμβουλή εξειδικευμένου ιατρού και δεν αντικαθιστούν την ιατρική εξέταση και την ιατρική συμβουλή. Ποτέ μη παραβλέψετε ή τροποποιήσετε ολικώς ή μερικώς ιατρική συμβουλή. Ο συντάκτης του άρθρου δε φέρει οιαδήποτε ευθύνη για οποιαδήποτε ενέργεια ή παράλειψη βασισμένη στις πληροφορίες και τα δεδομένα αυτού του δικτυακού τόπου.