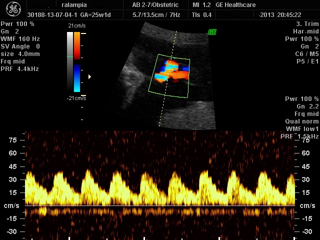
Τo υπερηχογράφημα ανάπτυξης - Doppler πραγματοποιείται μεταξύ 32 και 34 εβδομάδων κύησης. Ελέγχεται το βάρος του εμβρύου, η ομοιόμορφη σωματική αύξησή του, η κινητικότητα του εμβρύου, η ποσότητα του αμνιακού υγρού και η θέση του πλακούντα. Διενεργείται ένας αδρός επανέλεγχος της ανατομίας του εμβρύου και δια του έγχρωμου υπερηχογραφήματος Doppler η εκτίμηση της ροής του αίματος στην ομφαλική αρτηρία, στη μέση εγκεφαλική αρτηρία και όταν κρίνεται απαραίτητο και στο φλεβώδη πόρο. Τα αποτελέσματα αυτής της εξέτασης παρέχουν σημαντικές πληροφορίες για τη περαιτέρω πορεία της κύησης.

Οι πληροφορίες που παρέχονται δεν πρέπει να χρησιμοποιούνται για τη διάγνωση, θεραπεία, περίθαλψη ή πρόληψη οποιασδήποτε νόσου χωρίς τη συμβουλή εξειδικευμένου ιατρού και δεν αντικαθιστούν την ιατρική εξέταση και την ιατρική συμβουλή. Ποτέ μη παραβλέψετε ή τροποποιήσετε ολικώς ή μερικώς ιατρική συμβουλή. Ο συντάκτης του άρθρου δε φέρει οιαδήποτε ευθύνη για οποιαδήποτε ενέργεια ή παράλειψη βασισμένη στις πληροφορίες και τα δεδομένα αυτού του δικτυακού τόπου.