Τι είναι η ενδομητρίωση; Η ενδομητρίωση είναι μία πάθηση η οποία χαρακτηρίζεται από την παρουσία ενδομητρίου εκτός της ενδομητρικής κοιλότητας. Το ενδομήτριο, στο πρώτο μισό του κύκλου της γυναίκας, αυξάνει σε πάχος και προετοιμάζεται να υποδεχθεί το γονιμοποιημένο ωάριο. Σε περίπτωση που δεν προκύψει εγκυμοσύνη, αυτό αποβάλλεται με την έμμηνο ρύση. Η ίδια διεργασία όμως, παρατηρείται και σε οποιοδήποτε άλλο σημείο της γυναίκας υπάρχει έκτοπο ενδομήτριο. Το αποτέλεσμα είναι να προκαλείται τοπική αιμορραγία και φλεγμονώδης αντίδραση, με συνέπεια τη δημιουργία συμφύσεων, εμφυτεύσεων εκτός της μήτρας (οζίδια) και την παραγωγή κύστεων με αιματηρό περιεχόμενο (σοκολατοειδείς κύστεις ή ενδομητριώματα).
Πόσο συχνή είναι; Η ενδομητρίωση αποτελεί νόσο των γυναικών της αναπαραγωγικής ηλικίας, καθώς το ποσοστό της εμφάνισής της σε γυναίκες ηλικίας 18-45 ετών ανέρχεται στο 10-15%. Παράλληλα, το 38% των γυναικών με υπογονιμότητα παρουσιάζει ενδομητρίωση, όπως, επίσης και σχεδόν το 80% των γυναικών με χρόνιο πυελικό άλγος.
Γιατί εμφανίζεται η ενδομητρίωση; Δεν έχει αποδειχθεί ο μηχανισμός με τον οποίο δημιουργείται η ενδομητρίωση και για αυτόν τον λόγο, καμία θεωρία, από αυτές που ως τώρα έχουν αναπτυχθεί, δεν εξηγεί πλήρως κάποιες σπάνιες περιπτώσεις ενδομητρίωσης.
Πού εντοπίζεται; Συνήθως, η ενδομητρίωση εντοπίζεται στις ωοθήκες, τις σάλπιγγες, στο περιτόναιο, σε συνδέσμους της μήτρας, στο έντερο ή την ουροδόχο κύστη. Σπανιότερα σημεία εμφάνισής της αποτελούν οι πνεύμονες, τα μαλακά μόρια, το στήθος κτλ.
Τι συμπτώματα παρουσιάζει η ενδομητρίωση; Η ενδομητρίωση εμφανίζει μία πληθώρα συμπτωμάτων, με συχνότερα, το χρόνιο πυελικό άλγος (κυρίως κατά τις ημέρες της εμμήνου ρύσεως), την απώλεια μεγάλης ποσότητας αίματος κατά την έμμηνο ρύση, τη δυσπαρεύνια (πόνος κατά τη σεξουαλική επαφή) και την υπογονιμότητα. Παρόλα αυτά, ένα ποσοστό των γυναικών με ενδομητρίωση δεν εμφανίζει κανένα από τα ανωτέρω συμπτώματα. Στις γυναίκες αυτές, η ενδομητρίωση εντοπίζεται στα πλαίσια του ετήσιου γυναικολογικού ελέγχου, με την παρουσία ενδομητριώματος ή αρκετά συχνά στα πλαίσια μίας διαγνωστικής λαπαροσκόπησης για τη διερεύνηση υπογονιμότητας. Παράλληλα, αποτελεί νόσο που εμφανίζεται σε οποιαδήποτε ηλικία και συνηθέστερα σε γυναίκες, οι οποίες δεν έχουν τεκνοποιήσει (σύμφωνα με μελέτες σε ποσοστό μεγαλύτερο του 25% των γυναικών με μη αιτιολογημένη υπογονιμότητα). Σημαντικό είναι να αναφέρουμε, ότι τα πρώτα συμπτώματα της νόσου παρατηρούνται δύο εώς και πέντε χρόνια πριν τη διάγνωσή της !
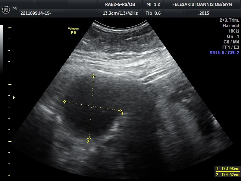
Πώς γίνεται η διάγνωση της νόσου; Την υποψία μας για την ύπαρξη ενδομητρίωσης, μπορούμε να την αντλήσουμε από τη λήψη ενός καλού ιστορικού, τη γυναικολογική εξέταση, τον υπερηχογραφικό έλεγχο των έσω γεννητικών οργάνων της γυναικας και τέλος τη χρήση της μαγνητικής τομογραφίας. Η διενέργεια αιματολογικών εξετάσεων δεν αποδεικνύει την ύπαρξη ενδομητρίωσης. Ο μοναδικός τρόπος για να τεθεί η διάγνωση της πάθησης είναι η διενέργεια λαπαροσκόπησης και η λήψη βιοψιών από τις ύποπτες περιοχές. Η ταξινόμηση της νόσου (στάδιο Ι-ΙV) γίνεται με κριτήριο το μέγεθος των εστιών, την παρουσία και την έκταση των συμφύσεων καθώς επίσης και την επέκταση της νόσου (στις ωοθήκες και σε άλλα όργανα). Η εικόνα της ενδομητρίωσης ποικίλει και, δυστυχώς, δεν έχει βρεθεί τρόπος να συσχετίσουμε τα συμπτώματα της ασθενούς με τον βαθμό ενδομητρίωσης (Ι-ΙV).
Υπάρχει κληρονομικότητα στην ενδομητρίωση; Η ύπαρξη συγγενικών προσώπων, που ήδη πάσχουν από ενδομητρίωση, αυξάνει την πιθανότητα εμφάνισης της νόσου, χωρίς, ωστόσο, να έχει παρατηρηθεί κάποιο συγκεκριμένο μοντέλο κληρονομικότητας.
Η ψυχολογία της γυναίκας με ενδομητρίωση. Η ενδομητρίωση αλλάζει την ζωή της γυναίκας. Η παρουσία έντονου πόνου σε μηνιαία βάση μπορεί να περιορίσει τη γυναίκα από την εργασία της ή ακόμα και τις απλές καθημερινές της δραστηριότητες, ενώ σε προχωρημένες περιπτώσεις, ο πόνος κατά τη διάρκεια της σεξουαλικής επαφής, την οδηγεί στον περιορισμό ή ακόμα και στη διακοπή της σεξουαλικής της ζωής. Τα προβλήματα υπογονιμότητας, τα οποία αντιμετωπίζουν οι γυναίκες αυτές, έχουν σοβαρή συνέπεια στον ψυχισμό τους. Συχνές, επίσης, είναι οι περιπτώσεις γυναικών, οι οποίες κατά τη λήψη του ιστορικού τους, περιγράφουν ακόμα και καταθλιπτικά φαινόμενα, όταν όλα τα προαναφερθέντα συμπτώματα συσσωρευτούν. Ωστόσο, τα φαινόμενα αυτά εξαφανίζονται, όταν η γυναίκα αντιμετωπίσει την ενδομητρίωση, συλλάβει, σταματήσει να πονάει και επιστρέψει στην “φυσιολογική ζωή“. Η καλή γνώση της ασθένειας από τον γυναικολόγο και η ενημέρωση της ίδιας της ασθενούς αλλά και του περιβάλλοντός της, αποτελούν ζητήματα ζωτικής σημασίας.
Υπάρχει θεραπεία; Η αντιμετώπιση της ενδομητρίωσης είναι ο ορθός συνδυασμός χειρουργικής και φαρμακευτικής προσέγγισης. Συγκεκριμένα η φαρμακευτική αντιμετώπιση έχει ως σκοπό, αφενός την καταπολέμηση του πόνου και αφετέρου την καταστολή της πάθησης, με στόχο τη βελτίωση της ποιότητας ζωής της γυναίκας. Η χειρουργική προσέγγιση στοχεύει στη σταδιοποίηση της νόσου, την αποκατάσταση της ανατομίας της γυναίκας (λύση συμφύσεων, αφαίρεση ενδομητριωμάτων κτλ) και την αφαίρεση ευμεγέθων εστιών ενδομητρίωσης. Στο σημείο αυτό, πρέπει να αναφερθεί ότι το σύνολο των χειρουργείων για ενδομητρίωση, πραγματοποιείται λαπαροσκοπικά.
Πώς επηρεάζει η ενδομητρίωση τη γονιμότητα μιας γυναίκας; Ο μηχανισμός με τον οποίο η ενδομητρίωση επηρεάζει τη γονιμότητα της γυναίκας είναι πολύπλευρος και δεν έχει πλήρως διαλευκανθεί. Η επικρατούσα άποψη ωστόσο, είναι πως η ενδομητρίωση προκαλεί σε βάθος χρόνου σημαντικές αλλαγές στην πύελο της γυναίκας (συμφύσεις, τοπικές φλεγμονές, ορμονικές και ανοσολογικές εκτροπές), οι οποίες, στο σύνολό τους και η καθεμία ξεχωριστά, διαταράσουν τη λειτουργία των σαλπίγγων και δημιουργούν προβλήματα στη γονιμοποίηση και την εμφύτευση του εμβρύου.
Θα κάνω απαραίτητα εξωσωματική γονιμοποίηση επειδή έχω ενδομητρίωση; Η απάντηση είναι κατηγορηματικά όχι. Η ενδομητρίωση συνδέεται με υπογονιμότητα (χαμηλή γονιμότητα) και όχι με στειρότητα (αδυναμία τεκνοποίησης) . Κάθε γυναίκα πρέπει να αντιμετωπίζεται εξατομικευμένα και, αφού της αναλυθούν τα πραγματικά ποσοστά της για την επίτευξη κύησης, κατόπιν μπορούμε να επιλέξουμε το καλύτερο για το ζευγάρι.
Επανεμφανίζεται η ενδομητρίωση; Σε αυτές τις περιπτώσεις, το πρώτο χειρουργείο που ενδεχομένως θα κάνει μία γυναίκα, είναι και το πιο σημαντικό. Η επανεμφάνιση της ενδομητρίωσης οφείλεται στη διέγερσή της από την αύξηση των οιστρογόνων. Σε κάθε κύκλο η γυναίκα πρέπει να έχει επίπεδα οιστρογόνων 40-400 pg/ml, επίπεδα τα οποία, ενώ είναι απαραίτητα για την επίτευξη εγκυμοσύνης, ταυτόχρονα είναι υπεύθυνα και για την επανεμφάνιση της ενδομητρίωσης. Έτσι, ο εξειδικευμένος γυναικολόγος αντιμετωπίζει την κάθε γυναίκα ξεχωριστά.
Υπάρχει τρόπος να προλάβω την επανεμφάνιση της νόσου; Σκοπός είναι η διατήρηση των επιπέδων των οιστρογόνων σε χαμηλά επίπεδα. Τόσο χαμηλά, ώστε να συνεχίζεται η φυσιολογική ζωή της γυναίκας, αλλά και να μην επανεμφανιστεί ενδομητρίωση. Έτσι, για όσες γυναίκες δεν έχουν σκοπό να τεκνοποιήσουν άμεσα, συστήνεται να ακολουθήσουν ειδική φαρμακευτική αγωγή η οποία διαφοροποιείται ανάλογα με την ηλικία της γυναίκας, το ιστορικό της και τον οικογενειακό της προγραμματισμό (επιθυμία για άμεση τεκνοποίηση, απουσία συντρόφου, τεκνοποίηση σε μεγαλύτερη ηλικία κτλ)
Πώς αντιμετωπίζεται η επανεμφάνιση ενδομητρίωσης; Η αντιμετώπιση της επανεμφανισθήσης ενδομητρίωσης εξαρτάται από την κατάσταση της γυναίκας, τη θέση της ενδομητρίωσης, την επιτυχία που είχε τυχόν προηγούμενο χειρουργείο στην αντιμετώπιση των συμπτωμάτων και την αποτελεσματικότητα της χορηγηθείσης φαρμακευτικής αγωγής. Η θεραπεία σε κάθε ασθενή είναι ξεχωριστή.
Πρέπει να οδηγούμαστε σε χειρουργική επέμβαση κάθε φορά που εμφανίζεται μια ενδομητριωσική κύστη; Υπάρχουν συγκεκριμένα κριτήρια βάσει των οποίων χειρουργούμε μία ενδομητριωσική κύστη και τα οποία ο Γυναικολόγος-Χειρουργός πρέπει να υπολογίσει. Σε πολλές περιπτώσεις άλλωστε, είναι πιο ωφέλιμο για τη γυναίκα να μη χειρουργηθεί.
Η ενδομητρίωση οδηγεί στον καρκίνο; Η ενδομητρίωση πολύ σπάνια προκαλεί καρκίνο. Οι πιθανότητες μία ενδομητριωσική κύστη να μετατραπεί σε καρκίνο είναι εξαιρετικά χαμηλές. Βέβαια, οι γυναίκες που πάσχουν από ενδομητρίωση, σε σύγκριση με αυτές που είναι υγιείς, έχουν μεγαλύτερες πιθανότητες εμφάνισης καρκίνου. Η ενδομητρίωση είναι μία πάθηση η οποία, δυστυχώς, επηρεάζει μεγάλο μέρος του γυναικείου πληθυσμού. Η κακή ποιότητα ζωής, η παρουσία πόνου, οι μέρες απουσίας από επαγγελματικές και κοινωνικές δραστηριότητες και κυρίως η υπογονιμότητα, με την οποία, συνήθως, συνδέεται, καθιστούν την αντιμετώπιση της κάθε γυναίκας επιτακτική και ξεχωριστή. Η γνώση της πάθησης, η ιδιαίτερη και εξατομικευμένη αντιμετώπισή της είναι τα μυστικά που θα οδηγήσουν στην επιτυχημένη αντιμετώπισή της.
Ενδομήτριο: Το εσωτερικό στρώμα της μήτρας, αυτό που καλύπτει την εσωτερική της κοιλότητα. Ενδομητρίωμα: Κύστη στην ωοθήκη γεμάτη με αίμα που δημιουργείται όταν η ενδομητρίωση προσβάλλει τις ωοθήκες. Σοκολατοειδής κύστη: Κύστη στην ωοθήκη γεμάτη με αίμα που δημιουργείται όταν η ενδομητρίωση προσβάλλει τις ωοθήκες. Λέγεται σοκολατοειδής γιατί το αίμα που περιέχεται στην κύστη σταδιακά παίρνει καφέ σκούρο χρώμα. Στειρότητα:η απόλυτη βιολογική αδυναμία τεκνοποίησης Υπογονιμότητα: η ακούσια αδυναμία ενός ζευγαριού να επιτύχει σύλληψη και να ολοκληρώσει κύηση μετά από τουλάχιστον ένα έτος τακτικών σεξουαλικών επαφών χωρίς αντισύλληψη.




Οι πληροφορίες που παρέχονται δεν πρέπει να χρησιμοποιούνται για τη διάγνωση, θεραπεία, περίθαλψη ή πρόληψη οποιασδήποτε νόσου χωρίς τη συμβουλή εξειδικευμένου ιατρού και δεν αντικαθιστούν την ιατρική εξέταση και την ιατρική συμβουλή. Ποτέ μη παραβλέψετε ή τροποποιήσετε ολικώς ή μερικώς ιατρική συμβουλή. Ο συντάκτης του άρθρου δε φέρει οιαδήποτε ευθύνη για οποιαδήποτε ενέργεια ή παράλειψη βασισμένη στις πληροφορίες και τα δεδομένα αυτού του δικτυακού τόπου.