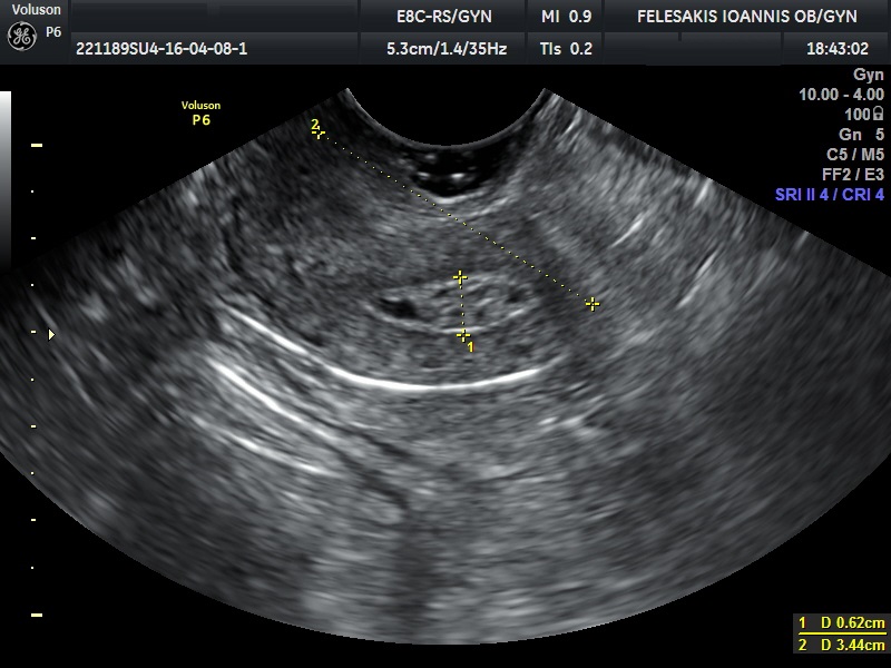
Η υπερηχογραφική απεικόνιση των έσω γεννητικών οργάνων παρέχει χρήσιμες πληροφορίες για τη διάγνωση των περισσοτέρων παθήσεων των έσω γεννητικών οργάνων όπως και για τον έλεγχο της γονιμότητας. Με το γυναικολογικό υπερηχογράφημα μπορούμε να ανιχνεύσουμε:
√ Υπερπλασία ενδομητρίου
√ Πολύποδες ενδομητρίου
√ Ινομυώματα μήτρας
√ Αδενομύωση μήτρας
√ Κακοήθη μορφώματα μήτρας και ωοθηκών
√ Κυστικά μορφώματα ωοθηκών
√ Παρακολούθηση ωορρηξίας σε φυσιολογικό κύκλο και κατόπιν ωοθηκικής διέγερσης
√ Πολυκυστικές ωοθήκες









Οι πληροφορίες που παρέχονται δεν πρέπει να χρησιμοποιούνται για τη διάγνωση, θεραπεία, περίθαλψη ή πρόληψη οποιασδήποτε νόσου χωρίς τη συμβουλή εξειδικευμένου ιατρού και δεν αντικαθιστούν την ιατρική εξέταση και την ιατρική συμβουλή. Ποτέ μη παραβλέψετε ή τροποποιήσετε ολικώς ή μερικώς ιατρική συμβουλή. Ο συντάκτης του άρθρου δε φέρει οιαδήποτε ευθύνη για οποιαδήποτε ενέργεια ή παράλειψη βασισμένη στις πληροφορίες και τα δεδομένα αυτού του δικτυακού τόπου.